Implantes dentales todo incluido

Tal como oíste, sin cobros sorpresa.

Inicio / Especialidades Implantes dentales todo incluido

El tratamiento incluye todo lo que necesitas

 (sin letra chica)

Scanner.

Cirugía.

Implante Neodent.

Corona de Zirconio.

Precio oferta $590.000

Sin cobros extra.

Solicitar aquí

Porque el mejor implante dura más tiempo

Nos preocupamos de entregarte la mejor calidad del mercado en implantes, es por eso que trabajamos exclusivamente con implantes dentales Neodent de la casa Straumann, situados actualmente como en primer lugar a nivel mundial.

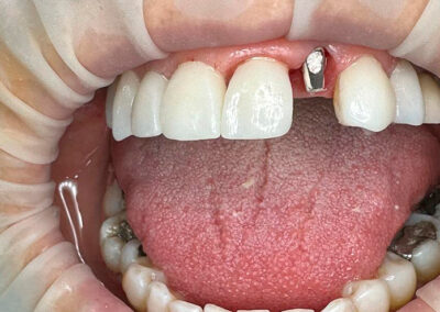
Imágenes del procedimiento

Agenda tu evaluación gratuita y transparente.

Y aprovecha esta tremenda promoción por tiempo limitado.

Marketing digital, Campaas Googles ADS y Redes sociales