Estética dental

Diseñamos sonrisas que roban miradas.

Inicio / Especialidades Estética dental

La sonrisa que mereces

Porque mereces brillar, somos expertos en estética dental. Diseñamos tu sonrisa para que tengas a apariencia que siempre soñaste.

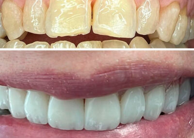
Carillas de porcelana.

Carillas directas.

Blanqueamiento dental.

Alargamiento coronario (gingivectomía).

Implantes dentales.

Utilizamos insumos de primera calidad como el Zirconio e implantes Neodent.

Imágenes del procedimiento

Presupuesto transparente y gratuito.

Estás a un clic de la sonrisa que siempre soñaste.

Marketing digital, Campaas Googles ADS y Redes sociales